testata Forum Natura Mediterraneo
Forum | Registrati | Msg attivi | Msg Recenti | Msg Pvt | Utenti | Galleria | Map | Gadgets | Cerca | | FAQ | Regole |NUOVA Tassonomia | Pagina Facebook di Natura Mediterraneo | Google+
Suggerimento: Lo sapevi che puoi aggiungere le informazioni di Google Map nel Forum? Clicca qui!
Cerca
Salva
Password dimenticata

 Galleria Tassonomica
 di Natura Mediterraneo
 



 Tutti i Forum
 Forum Protisti e Microinvertebrati
 PROTISTI: DISCUSSIONI GENERALI E FOTOGRAFIE DA DETERMINARE
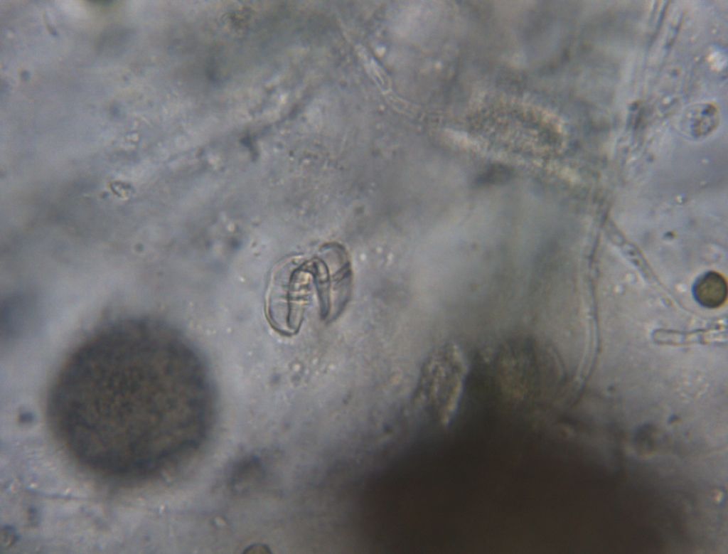
 Qualcuno s'è perso la dentiera?
 Nuova Discussione
 Versione Stampabile my nm Leggi più tardi
I seguenti utenti stanno leggendo questo Forum Qui c'è:
Autore Discussione Precedente Discussione Discussione Successiva  

gippo
Utente Senior

Città: Thiesi
Prov.: Sassari

Regione: Sardegna


636 Messaggi
Tutti i Forum

Inserito il - 08 novembre 2013 : 19:02:37 Mostra Profilo  Apri la Finestra di Tassonomia

Quante cose si trovano buttate...che spreco!

Immagine:
Qualcuno s''è perso la dentiera?
60,19 KB

Chi si accontenta gode...e sono c...occi suoi!

Modificato da - gippo in Data 08 novembre 2013 19:03:32
  Discussione Precedente Discussione Discussione Successiva  
 Nuova Discussione
 Versione Stampabile my nm Leggi più tardi
Scorciatoia






Natura Mediterraneo © 2003-2024 Natura Mediterraneo Torna all'inizio della Pagina
Questa pagina è stata generata in 0,25 secondi. TargatoNA.it | Movie BackStage | Snitz Forums 2000

Leps.it | Herp.it | Lynkos.net