|
|
|
|
|
Galleria Tassonomica di
Natura Mediterraneo
|
|
|
| Autore |
Discussione  |
|
|
Enzo Musumeci
Utente Super
    
 Città: Basilea
Regione: Switzerland
8641 Messaggi Micologia |
|
|
Enzo Musumeci
Utente Super
    

Città: Basilea
Regione: Switzerland
8641 Messaggi Micologia |
Inserito il - 12 dicembre 2006 : 19:15:19
|
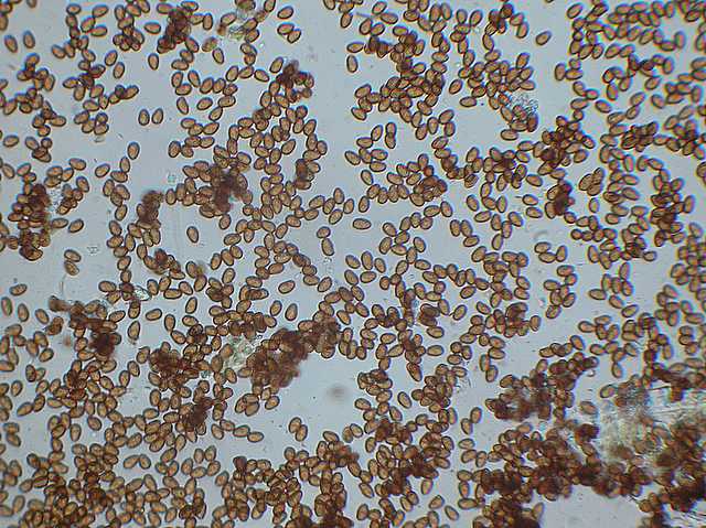
Galerina spec. Cod.DSCN 9112
l'indagine microscopica effettuata mi porta in direzione del complesso marginata, le spore verrucose con plaga ilare nettamente evidenziata come anche la caliptratura in alcune spore decisamente rilevante, le misure sono nella norma . Sono anche tipici i Cheilocistidi lageniformi e i Pleurocistidi della medesima tipologia tuttavia meno numerosi. Per l'assenza di cellule clavate-sferopedunculate interposte tra i Cheilocistidi sono propenso a considerare questa raccolta riconducibile a Galerina marginata (Batsch) Kühner, Galerina autunnalis, secondo Horak dovrebbe differenziarsi appunto per la presenza sul filo lamelle di cellule clavate e il rivestimento pileico notevolmente gelificato
.....attendo la bacchettata di Mariano !
Spore :
Immagine:
86,66 KB |
Modificato da - Enzo Musumeci in data 12 dicembre 2006 19:16:24 |
 |
|
|
Enzo Musumeci
Utente Super
    

Città: Basilea
Regione: Switzerland
8641 Messaggi Micologia |
Inserito il - 12 dicembre 2006 : 19:17:15
|
Galerina spec. Cod.DSCN 9112
l'indagine microscopica effettuata mi porta in direzione del complesso marginata, le spore verrucose con plaga ilare nettamente evidenziata come anche la caliptratura in alcune spore decisamente rilevante, le misure sono nella norma . Sono anche tipici i Cheilocistidi lageniformi e i Pleurocistidi della medesima tipologia tuttavia meno numerosi. Per l'assenza di cellule clavate-sferopedunculate interposte tra i Cheilocistidi sono propenso a considerare questa raccolta riconducibile a Galerina marginata (Batsch) Kühner, Galerina autunnalis, secondo Horak dovrebbe differenziarsi appunto per la presenza sul filo lamelle di cellule clavate e il rivestimento pileico notevolmente gelificato
.....attendo la bacchettata di Mariano !
Spore :
Immagine:
27 KB |
 |
|
|
Enzo Musumeci
Utente Super
    

Città: Basilea
Regione: Switzerland
8641 Messaggi Micologia |
Inserito il - 12 dicembre 2006 : 19:18:32
|
Galerina spec. Cod.DSCN 9112
l'indagine microscopica effettuata mi porta in direzione del complesso marginata, le spore verrucose con plaga ilare nettamente evidenziata come anche la caliptratura in alcune spore decisamente rilevante, le misure sono nella norma . Sono anche tipici i Cheilocistidi lageniformi e i Pleurocistidi della medesima tipologia tuttavia meno numerosi. Per l'assenza di cellule clavate-sferopedunculate interposte tra i Cheilocistidi sono propenso a considerare questa raccolta riconducibile a Galerina marginata (Batsch) Kühner, Galerina autunnalis, secondo Horak dovrebbe differenziarsi appunto per la presenza sul filo lamelle di cellule clavate e il rivestimento pileico notevolmente gelificato
.....attendo la bacchettata di Mariano !
Spore :
Immagine:
21,48 KB |
 |
|
|
Enzo Musumeci
Utente Super
    

Città: Basilea
Regione: Switzerland
8641 Messaggi Micologia |
Inserito il - 12 dicembre 2006 : 19:19:42
|
Galerina spec. Cod.DSCN 9112
l'indagine microscopica effettuata mi porta in direzione del complesso marginata, le spore verrucose con plaga ilare nettamente evidenziata come anche la caliptratura in alcune spore decisamente rilevante, le misure sono nella norma . Sono anche tipici i Cheilocistidi lageniformi e i Pleurocistidi della medesima tipologia tuttavia meno numerosi. Per l'assenza di cellule clavate-sferopedunculate interposte tra i Cheilocistidi sono propenso a considerare questa raccolta riconducibile a Galerina marginata (Batsch) Kühner, Galerina autunnalis, secondo Horak dovrebbe differenziarsi appunto per la presenza sul filo lamelle di cellule clavate e il rivestimento pileico notevolmente gelificato
.....attendo la bacchettata di Mariano !
Spore :
Immagine:
18,42 KB |
 |
|
|
Enzo Musumeci
Utente Super
    

Città: Basilea
Regione: Switzerland
8641 Messaggi Micologia |
Inserito il - 12 dicembre 2006 : 19:20:50
|
Galerina spec. Cod.DSCN 9112
l'indagine microscopica effettuata mi porta in direzione del complesso marginata, le spore verrucose con plaga ilare nettamente evidenziata come anche la caliptratura in alcune spore decisamente rilevante, le misure sono nella norma . Sono anche tipici i Cheilocistidi lageniformi e i Pleurocistidi della medesima tipologia tuttavia meno numerosi. Per l'assenza di cellule clavate-sferopedunculate interposte tra i Cheilocistidi sono propenso a considerare questa raccolta riconducibile a Galerina marginata (Batsch) Kühner, Galerina autunnalis, secondo Horak dovrebbe differenziarsi appunto per la presenza sul filo lamelle di cellule clavate e il rivestimento pileico notevolmente gelificato
.....attendo la bacchettata di Mariano !
Spore :
Immagine:
20,9 KB |
 |
|
|
Enzo Musumeci
Utente Super
    

Città: Basilea
Regione: Switzerland
8641 Messaggi Micologia |
Inserito il - 12 dicembre 2006 : 19:22:43
|
Galerina spec. Cod.DSCN 9112
l'indagine microscopica effettuata mi porta in direzione del complesso marginata, le spore verrucose con plaga ilare nettamente evidenziata come anche la caliptratura in alcune spore decisamente rilevante, le misure sono nella norma . Sono anche tipici i Cheilocistidi lageniformi e i Pleurocistidi della medesima tipologia tuttavia meno numerosi. Per l'assenza di cellule clavate-sferopedunculate interposte tra i Cheilocistidi sono propenso a considerare questa raccolta riconducibile a Galerina marginata (Batsch) Kühner, Galerina autunnalis, secondo Horak dovrebbe differenziarsi appunto per la presenza sul filo lamelle di cellule clavate e il rivestimento pileico notevolmente gelificato
.....attendo la bacchettata di Mariano !
Cheilocistidi :
Immagine:
36,84 KB |
 |
|
|
Enzo Musumeci
Utente Super
    

Città: Basilea
Regione: Switzerland
8641 Messaggi Micologia |
Inserito il - 12 dicembre 2006 : 19:24:03
|
Galerina spec. Cod.DSCN 9112
l'indagine microscopica effettuata mi porta in direzione del complesso marginata, le spore verrucose con plaga ilare nettamente evidenziata come anche la caliptratura in alcune spore decisamente rilevante, le misure sono nella norma . Sono anche tipici i Cheilocistidi lageniformi e i Pleurocistidi della medesima tipologia tuttavia meno numerosi. Per l'assenza di cellule clavate-sferopedunculate interposte tra i Cheilocistidi sono propenso a considerare questa raccolta riconducibile a Galerina marginata (Batsch) Kühner, Galerina autunnalis, secondo Horak dovrebbe differenziarsi appunto per la presenza sul filo lamelle di cellule clavate e il rivestimento pileico notevolmente gelificato
.....attendo la bacchettata di Mariano !
Cheilocistidi :
Immagine:
39,77 KB |
 |
|
|
Enzo Musumeci
Utente Super
    

Città: Basilea
Regione: Switzerland
8641 Messaggi Micologia |
Inserito il - 12 dicembre 2006 : 19:25:04
|
Galerina spec. Cod.DSCN 9112
l'indagine microscopica effettuata mi porta in direzione del complesso marginata, le spore verrucose con plaga ilare nettamente evidenziata come anche la caliptratura in alcune spore decisamente rilevante, le misure sono nella norma . Sono anche tipici i Cheilocistidi lageniformi e i Pleurocistidi della medesima tipologia tuttavia meno numerosi. Per l'assenza di cellule clavate-sferopedunculate interposte tra i Cheilocistidi sono propenso a considerare questa raccolta riconducibile a Galerina marginata (Batsch) Kühner, Galerina autunnalis, secondo Horak dovrebbe differenziarsi appunto per la presenza sul filo lamelle di cellule clavate e il rivestimento pileico notevolmente gelificato
.....attendo la bacchettata di Mariano !
Cheilocistidi :
Immagine:
39,32 KB |
 |
|
|
Enzo Musumeci
Utente Super
    

Città: Basilea
Regione: Switzerland
8641 Messaggi Micologia |
Inserito il - 12 dicembre 2006 : 19:26:14
|
Galerina spec. Cod.DSCN 9112
l'indagine microscopica effettuata mi porta in direzione del complesso marginata, le spore verrucose con plaga ilare nettamente evidenziata come anche la caliptratura in alcune spore decisamente rilevante, le misure sono nella norma . Sono anche tipici i Cheilocistidi lageniformi e i Pleurocistidi della medesima tipologia tuttavia meno numerosi. Per l'assenza di cellule clavate-sferopedunculate interposte tra i Cheilocistidi sono propenso a considerare questa raccolta riconducibile a Galerina marginata (Batsch) Kühner, Galerina autunnalis, secondo Horak dovrebbe differenziarsi appunto per la presenza sul filo lamelle di cellule clavate e il rivestimento pileico notevolmente gelificato
.....attendo la bacchettata di Mariano !
Cheilocistidi :
Immagine:
42,66 KB |
 |
|
|
Enzo Musumeci
Utente Super
    

Città: Basilea
Regione: Switzerland
8641 Messaggi Micologia |
Inserito il - 12 dicembre 2006 : 19:29:07
|
Galerina spec. Cod.DSCN 9112
l'indagine microscopica effettuata mi porta in direzione del complesso marginata, le spore verrucose con plaga ilare nettamente evidenziata come anche la caliptratura in alcune spore decisamente rilevante, le misure sono nella norma . Sono anche tipici i Cheilocistidi lageniformi e i Pleurocistidi della medesima tipologia tuttavia meno numerosi. Per l'assenza di cellule clavate-sferopedunculate interposte tra i Cheilocistidi sono propenso a considerare questa raccolta riconducibile a Galerina marginata (Batsch) Kühner, Galerina autunnalis, secondo Horak dovrebbe differenziarsi appunto per la presenza sul filo lamelle di cellule clavate e il rivestimento pileico notevolmente gelificato
.....attendo la bacchettata di Mariano !
Pleurocistidi :
Immagine:
48,24 KB
....a proposito Mariano, ieri ho spedito tutte le essiccate del Periodo Agosto-Dicembre per posta raccomandata-prioritaria, dovrebbero arrivare in pochi giorni....ti auguro buon lavoro !
Ciao a presto
Enzo Musumeci
|
 |
|
|
Giorgio Gozzi
Utente Super
    

Città: trento
Prov.: Trento
Regione: Trentino - Alto Adige
7792 Messaggi Micologia |
Inserito il - 12 dicembre 2006 : 20:41:39
|
Leggendo spore caliptrate immaginavo il cappello di H.calyptriformis...scopro invece un sacco avvolgente che mai avrei immaginato.Piano piano imparo. Curiosamente sono partite ieri anche le mie Galerina per mariano. 
ciao giorgio
....in breve tutto è ammirabile nella creazione,ma questi esseri ci sembrano ancora più meravigliosi in quanto tali non si giudicherebbero a prima vista;solo il microscopio ce ne rivela l'intiera struttura,mettendoci sotto l'occhio un mondo nuovo,ed insegnandoci ad apprezzarne le recondite bellezze... don G.bresadola 1847-1929 |
 |
|
|
Mariano
Utente Senior
   

Città: Pozzaglia Sabino
Prov.: Rieti
Regione: Lazio
1305 Messaggi Tutti i Forum |
Inserito il - 12 dicembre 2006 : 22:18:11
|
Ciao Enzo, pensavo fosse Natale e non carnevale..................! Io una Galerina con caratteri così da marginata e così travestita non l'avevo mai vista!!!! è da approfondire..................................!!!! La morfologia del cappello (papillato)e i cistidi frequentemente "strozzati" all'apice che danno una "testa" da serpente vista dall'alto, nel "mondo" marginata non l'avrei mai immaginata. Il gambo presenta sicuramente velo ma non da sviluppare un anello netto e non solo: la siluette dei carpofori la dicono tutta.............. Ripeto, è da approfondire. Per Giorgio, le Galerine l'ho viste vicino al micro appena tornato dal lavoro. Grazie come sempre. Mariano.
|
 |
|
|
Mariano
Utente Senior
   

Città: Pozzaglia Sabino
Prov.: Rieti
Regione: Lazio
1305 Messaggi Tutti i Forum |
Inserito il - 12 dicembre 2006 : 22:34:40
|
Ciao Enzo dimenticavo, hai visto che le spore in foto l'hai riprodotte con le verruche e la plaga? Complimenti!! Molto belle. P.S. mi potresti dire come si presenta la cuticola e le spore se sono superiori di lunghezza ai "famosi" 11 micron? Speriamo di capirci qualche cosa. Salutoni a tutti, Mariano. |
 |
|
|
Enzo Musumeci
Utente Super
    

Città: Basilea
Regione: Switzerland
8641 Messaggi Micologia |
Inserito il - 13 dicembre 2006 : 17:27:28
|
Ciao Mariano
ti assicuro che siamo molto piu' vicini al Natale che non al Carnevale !!.......mi fa' molto piacere sapere che sia una specie da approfondire e non una banale G.marginata, ...da notare che l'anello era ben sviluppato nei giovani esemplari, membranoso-inguainante e la forma del cappello non sempre rifletteva l'umbone quasi acuto. Per tipicita' indendevo dire la tipologia lageniforme-subfusiforme dei cistidi, se poi all'apice sono diversamente conformati, comunque questo carattere non era uniforme, in molti cistidi il tratto sommitale era regolare senza strozzature se si osserva bene nelle foto si vedono , avrai comunque modo di accertartene sull'esamina dell'essiccata. Le misure sporali come detto erano nella norma. 7,5-10,7 x 5,2-6,7 my, Il rivestimento pileico mostrava un leggero strato gelificato, non ho fatto le foto perche' mi sembrava superfluo.
Ciao a presto
Enzo Musumeci
|
 |
|
| |
Discussione  |
|
|
|
Natura Mediterraneo |
© 2003-2024 Natura Mediterraneo |
 |
|
Leps.it | Herp.it | Lynkos.net
|